应对流感季毒株变迁:标准化流感模型与全链服务,加速流感疫苗与抗病毒药研发
流感可不是普通的感冒,它是一个传染力强、可能引发严重并发症的呼吸道高手。与去年常见的H1N1毒株不同,今年流行的流感毒株以甲型H3N2为主。但别担心,知己知彼,方能百战百胜。这篇文章将带你快速看透它的本质,并用最科学的方法,轻松构筑你的健康防线!

2022-2026年度南方省份哨点医院报告的流感样病例百分比(%)(截至2025年10月19日)
注:数据来源于国家级哨点医院。
认识流感,科学应对
冬春季是流感高发期,每年的10月下旬至次年3月上旬是季节性流感的高发时节。流感并非普通感冒,它是由流感病毒引起的急性呼吸道传染病,传染性强、传播速度快,可引发严重并发症。

流感病毒的广泛宿主谱系及传播路径
流感病毒有4种类型:甲型、乙型、丙型和丁型,甲型和乙型流感病毒传播并引起季节性疾病流行[1]。
甲型流感病毒根据病毒表面蛋白质的组合进一步分为亚型。目前在人类中流行的是甲型(H1N1)和甲型(H3N2)流感病毒亚型。甲型H1N1通常也被称为甲型(H1N1)pdm09,因为它在2009年引起了大流行,并取代了2009年之前传播的甲型(H1N1)病毒。已知只有甲型流感病毒会引起大流行。
乙型流感病毒不分为亚型,但可以分为谱系。乙型流感病毒属于乙型/Yamagata或乙型/Victoria谱系。
丙型流感病毒的检出频率较低,通常引起轻度感染,因此不具有公共卫生重要性。
丁型流感病毒主要感染牛,目前尚不知道是否会感染人或导致人患病。
接种流感疫苗是预防流感最经济、最有效的方式。今年的流感疫苗已针对H3N2等流行毒株调整了配方,能有效降低重症风险。理想的接种期为每年10至11月。疫苗接种后约2周方可产生具有保护水平的抗体,因此及早接种有助于在流感季来临前建立有效的免疫屏障[3]。
流感病毒感染模型
面对流感威胁,我们既需要依靠疫苗接种这道前端防线,也离不开创新研发工具这一幕后基石。在流感病毒与药物研发的长期斗争中,动物模型作为科学研究的重要工具,为理解病毒致病机制和评价药物疗效提供了关键平台。

研究流感病毒的常见实验动物
药康生物感染平台依托详尽的“病毒感染-疫苗验证”标准化流程,为流感疫苗效力评价提供全链条数据支持。平台覆盖H1N1, H3N2, Victoria, Yamagata等主要流行株(IAV/IBV)。流程上,从病毒扩增→小鼠初免/加强免疫→攻毒感染,到系统监测体重变化、存活率、组织病毒滴度等关键指标;核心环节,更通过血凝抑制(HI)与微量中和试验(MNT) 精准测定中和抗体滴度,有力验证疫苗免疫效果。
IAV疫苗临床前研究案例

试验设计
验证数据
基础数据

感染后小鼠体重变化

感染后小鼠生存曲线
病毒载量变化

小鼠肺部H1N1病毒载量对比
该数据清晰展示了不同候选分子在流感模型中对H1N1病毒复制的抑制效果。其中,G2(TA-1)表现出最强的抗病毒活性,其小鼠肺部病毒载量极低,显著低于PBS对照组(G1);其余候选分子也显示出一定的抑制效果。
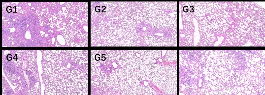
病理变化

各组肺组织病理损伤对比
肺组织切片结果显示,与G1(模型/PBS)对照组相比,G2(TA-1)治疗组的肺部炎症浸润和病理损伤得到显著缓解,肺泡结构更完整。其余治疗组(G3-G6)也显示出不同程度的改善效果。这表明,特别是TA-1处理,在流感病毒感染模型中能有效减轻肺部病理损伤,展现出良好的保护作用。
流感疫苗对于病毒感染的抑制作用评价

血凝抑制(HI)试验结果
结语
及时接种疫苗是个人防护的关键一步,而疫苗与药物的高效研发,则依托于精准的感染模型平台。药康生物感染管线正以此为使命,通过高度标准化的流感模型,为疫苗效力评价与抗病毒药物筛选提供关键数据支撑,助力筑牢从个体防护到产业研发的完整健康屏障。
科学防护,精准研发,让我们共同应对流感季挑战!
参考资料
[1] https://www.who.int/zh/news-room/fact-sheets/detail/influenza-(seasonal)[2]https://www.nhc.gov.cn/wjw/c100365/hdjl_xwfbh_detail.shtml?id=82722783e33548bfbbba1e454a99e26b[3]https://news.qq.com/rain/a/20251025A04C2F00
