从发情判断到离乳管理,3大关键技巧让鼠鼠繁育效率飙升

养鼠人懂的都懂:查栓白等、幼鼠夭折、离乳赶不上进度 —— 这些坑太闹心!其实繁育里藏着不少关键技巧,今天从发情判断、配繁操作到离乳管理,手把手教你搞定,让实验少走弯路~
先摸透小鼠的恋爱戒律!2招精准判断周期
雌鼠的性周期通常为4~5天,一般分为发情前期、发情期、发情后期和发情间期四个阶段。如何判断小鼠发情周期各阶段呢?
1. 看外观 + 观行为:快速初筛超方便
处于发情前期和发情期的雌鼠外阴红肿湿润、阴道口张开,并表现出围绕雄鼠转圈、轻蹭等行为。处于发情后期和发情间期的雌鼠外阴肿胀消退、阴道开口较小,行为恢复平静。

小鼠发情周期各阶段[1]
注:发情周期阶段包括发情前期(A)、发情期(B)、发情后期(C)和发情间期(D)。
2. 阴道细胞涂片:精确判断靠它
通过采集雌鼠阴道分泌物染色观察阴道脱落细胞,根据细胞类型及其相应数量差异精准判断周期阶段。
发情前期:以有核上皮细胞为主,同时存在少量角质化上皮细胞;
发情期:主要为角质化上皮细胞;
发情后期:白细胞、角质化上皮细胞、有核上皮细胞同时存在;
发情间期:存在大量白细胞、大小不一的有核上皮细胞。

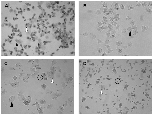
小鼠发情周期各阶段阴道细胞[1]
注:白细胞(圆圈标注)、角质化上皮细胞(黑色箭头标注)和有核上皮细胞(白色箭头标注)。
科学的“牵线搭桥”:繁育与合笼技巧
合笼可不是随便把两只小鼠丢进去就行,方式选不对、细节没做好,要么配不上,要么还打架~
1. 单对 vs 多雌配繁:按需选才不浪费

常见配繁方式
2. 选小鼠别瞎选!这3点必须盯紧
年龄需达标:选择性成熟的健康个体,小鼠通常在36~42日龄达到性成熟(部分品系如DBA/2J和C3H性成熟较早,雌鼠约23日龄)。小鼠最佳生产繁育期通常为7~8个月,受品系特性和突变表型的影响,品系的实际繁育期会波动。
基因型需匹配:需匹配基因型选择雌雄鼠,注意某些纯合基因型可能导致不育或生育力低下等问题。
健康先排查:合笼前排除异常表型,如弱小、白内障、断尾、雌鼠阴道隔膜或阴道闭锁、雄鼠隐睾或睾丸发育不良等。
3. 合笼操作:这三个细节别做错
放鼠顺序别搞反:饲养环境需符合国家标准。雄鼠具有较强的领地意识,在合笼时应将雌鼠引入雄鼠的笼盒内以减少攻击性。
时间选对省力气:鉴于雌鼠仅在发情期排卵且交配多发生于夜间,如需获得特定阶段胚胎或诱导假孕,建议下午合笼,次晨检查阴道栓以确认交配。
打架了赶紧分:合笼后,嗅探、追逐是正常社交行为,无需干预。若出现激烈打斗、撕咬导致外伤,或一方(通常是雌鼠)长时间蜷缩角落、颤抖,应立即分离并更换配对,避免严重应激或伤害。
确认喜讯:从阴道栓到离乳的关键节点
1. 阴道栓:看到了也别高兴太早
阴道栓是雄鼠交配后由雄鼠精囊腺和凝固腺的分泌物在雌鼠阴道内凝固形成的白色或淡黄色凝固物,通常在交配后10~12小时可以观察到白色、绿豆大小的阴道栓。需要注意的是,阴道栓仅表明交配行为发生,并不代表100%受孕[2]。

阴道栓观察(见栓鼠)
2. 妊娠21天:这4个节点要记牢
雌鼠妊娠期通常为19~21天,在妊娠后期需保持环境安静,避免不必要的抓取、换笼和噪声干扰,防止母鼠应激、流产或食仔等。

3. 离乳管理:想提升幼鼠存活率,这3点别忽略
一般来说,小鼠离乳日龄为19~21天。带仔8只母鼠的仔鼠离乳体重及成活率均显著高于带仔10只母鼠[4],建议适当减少母鼠带仔数。当遇母鼠死亡、泌乳不足、弃仔或窝产仔数过多时,代乳是挽救幼鼠的首选方案。代乳母鼠应选择同日或前后3天内分娩、母性强、泌乳充足的健康个体,优先选择与被代乳幼鼠品系毛色不同者,以方便区分。
结语
从精准牵线到科学带娃,每一个细节都关乎科研数据的成败。把这些技巧吃透,不仅小鼠养得壮,后续实验数据也能少踩坑,说不定下一个关键发现,就靠这群小家伙撑着呢!
参考文献
[1] Byers SL, Wiles MV, Dunn SL, Taft RA. Mouse estrous cycle identification tool and images. PLoS One. 2012;7(4):e35538. doi: 10.1371/journal.pone.0035538. Epub 2012 Apr 13. PMID: 22514749; PMCID: PMC3325956.
[2] Behringer R, Gertsenstein M, Nagy KV, Nagy A. Selecting Female Mice in Estrus and Checking Plugs. Cold Spring Harb Protoc. 2016 Aug 1;2016(8). doi: 10.1101/pdb.prot092387. PMID: 27480722.
[3] Heyne GW, Plisch EH, Melberg CG, Sandgren EP, Peter JA, Lipinski RJ. A Simple and Reliable Method for Early Pregnancy Detection in Inbred Mice. J Am Assoc Lab Anim Sci. 2015 Jul;54(4):368-71. PMID: 26224435; PMCID: PMC4521569.
[4] 张静旭,刘淑霞,马丹,刘秀侠,薄文学.NIH小鼠生长繁殖性能的观察[J].中国比较医学杂志,2002,(5):292~293.
