125亿美元引爆COPD革命:从百亿交易到小鼠模型,解锁肺病新药密码
近日,全球呼吸系统药物研发领域接连传出重磅交易。恒瑞医药与GSK达成总额高达125亿美元的战略合作,共同开发临床Ⅰ期阶段的PDE3/4双靶点抑制剂HRS-9821,用于治疗慢性阻塞性肺疾病(COPD)。该药物通过同时抑制PDE3和PDE4,有望实现支气管扩张与抗炎的双重功效,为干粉吸入制剂的开发开辟新路径。根据协议条款,GSK将支付5亿美元首付款,后续里程碑付款最高可达120亿美元。
这并非近期COPD赛道的唯一大额交易。默沙东刚刚斥资100亿美元收购Verona Pharma,获得同类药物ensifentrine;中生制药自主研发的TQC3721也已进入临床Ⅲ期阶段。这些动作凸显了COPD治疗领域的巨大潜力,正吸引跨国药企加速布局相关药物。
COPD疾病挑战与治疗曙光
慢性阻塞性肺疾病(COPD)是一种以不完全可逆性气流受限为特征的疾病,与有害颗粒引发的异常炎症反应密切相关。其病因包括长期吸烟、空气污染、职业暴露及遗传因素,临床表现为进行性加重的咳嗽、咳痰、呼吸困难及急性发作风险。
疾病治疗现状
COPD作为一种慢性气道疾病,其特征是不完全可逆的气流受限,与长期暴露于香烟烟雾、空气污染或职业粉尘等有害颗粒引发的异常炎症反应相关。该疾病不仅累及肺部,还可能引起全身性不良效应,常见症状包括持续性咳嗽、咳痰、呼吸困难及胸闷,急性加重期会显著恶化患者生活质量。病因多样,涉及遗传因素和环境暴露,诊断需结合临床症状、危险因素史和肺功能检查。临床上,COPD表现出极强异质性——不同患者个体差异巨大,传统疗法如支气管扩张剂和糖皮质激素已陷入瓶颈:一方面无法满足个性化治疗需求,另一方面难以有效应对急性加重等并发症。然而,2024年标志着治疗领域的重大突破:6月,FDA批准新型吸入药物Ohtuvayre上市;9月27日,度普利尤单抗(Dupixent®)获准作为附加维持治疗,用于嗜酸性粒细胞升高的难治性COPD患者,为患者带来新希望。
小鼠模型:解码COPD病理与药效的核心工具
在这一背景下,动物模型成为推动COPD药物研发的关键工具,尤其在小鼠模型中,研究人员能精准模拟疾病机制并验证药效。集萃药康的呼吸道疾病平台采用香烟暴露法构建的COPD小鼠模型,已证明能重现人类病理特征。实验中,小鼠经历LPS和香烟联合诱导90天后,外观出现明显变化,如毛发干燥、炸毛及行动力减弱,这些表型直观反映了疾病进展。
· Th1型COPD小鼠模型
小鼠经历LPS和香烟联合诱导90天后,小鼠肺泡灌洗液(BALF)中炎性细胞增加明显,炎症因子也表现出上升趋势。

图1.Ⅰ型COPD小鼠模型构建

图2. COPD小鼠BALF炎性细胞和因子检测
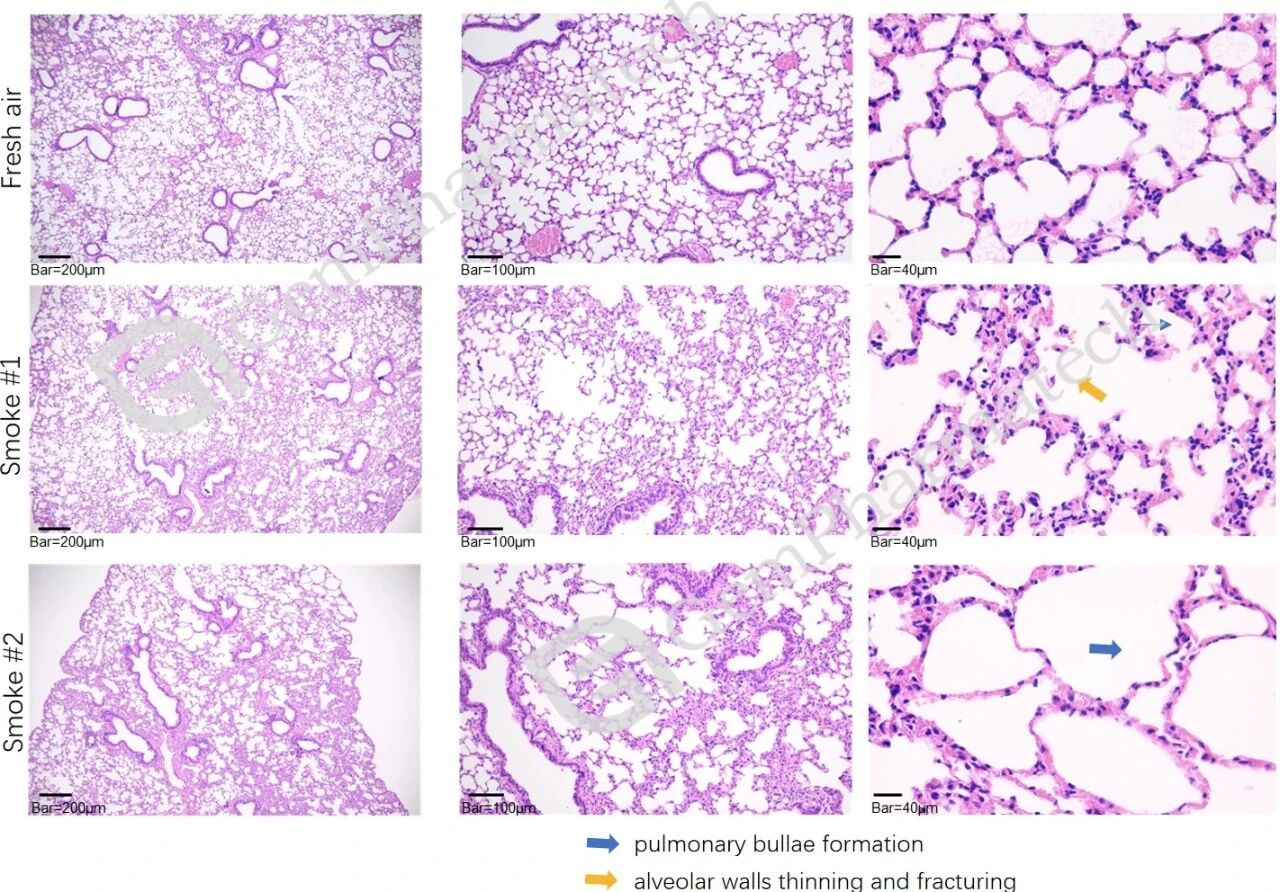
小鼠终点后进行肺部病理检测可发现造模组小鼠肺部有明显的肺气肿表型,主要表现为肺泡坍塌,肺泡壁断裂,肺泡融合等,另外从其支气管炎症浸润和纤维化情况也可证明该模型中小鼠产生了明显的支气管炎症。

图3. COPD小鼠模型病理切片HE染色
小鼠终点后进行肺功能检测可见肺容量、肺顺应性等与肺部气体容积或吸气能力相关指数都有明显升高,但是对于呼气指数关键指标的FEV100或FEV100/FVC比值都有显著下降,说明CS+LPS的造模方式能够损伤小鼠的肺功能。

图4. CS+LPS模型小鼠肺功能变化
· Th2型COPD小鼠模型
CS+LPS的模型多以Th1型炎症表型为主,在原Th1型COPD造模的基础上叠加HDM的诱导能够构建出包括IL-4、IL-5、IL-13等Th2型炎症因子的表达或上调。

图5. Ⅱ型COPD小鼠模型构建

图6. Ⅱ型COPD模型小鼠BALF中炎症因子检测
小鼠终点后进行肺部病理检测可发现COPD组和COPD+HDM组小鼠肺部有明显的肺气肿表型,此外,对该病理切片进行PAS染色(碘酸雪夫染色,Periodic Acid-Schiff stain),与COPD组相比,COPD+HDM组可观察到更明显的阳性信号,表明HDM的叠加促进COPD小鼠的支气管粘液分泌。

图7. Ⅱ型COPD模型小鼠H&E和PAS病理染色
小鼠终点后进行肺功能检测可见HDM+COPD组肺功能下降较COPD组更为明显,HDM的叠加进一步加重对小鼠肺功能的损伤。

图8 COPD+HDM模型小鼠肺功能变化
动物模型驱动产业升级:从临床前验证到产业生态重塑
动物模型正驱动COPD产业升级,从基础研究跃升为创新药物开发的引擎。以恒瑞HRS-9821或中生TQC3721等PDE3/4抑制剂为例,小鼠模型能验证其双重机制,从而加速临床转化。这种模式不仅缩短研发周期(例如模型优化将时间压缩30-50%),还能规避临床风险——通过黏液化生数据预测患者急性发作率,并推动技术融合,如人源化模型助力生物制剂精准定位。未来,结合类器官和数字孪生技术,模型平台将彻底改变COPD治疗范式,实现从症状控制到疾病修饰的跨越,最终惠及全球患者,撬动千亿级市场。
